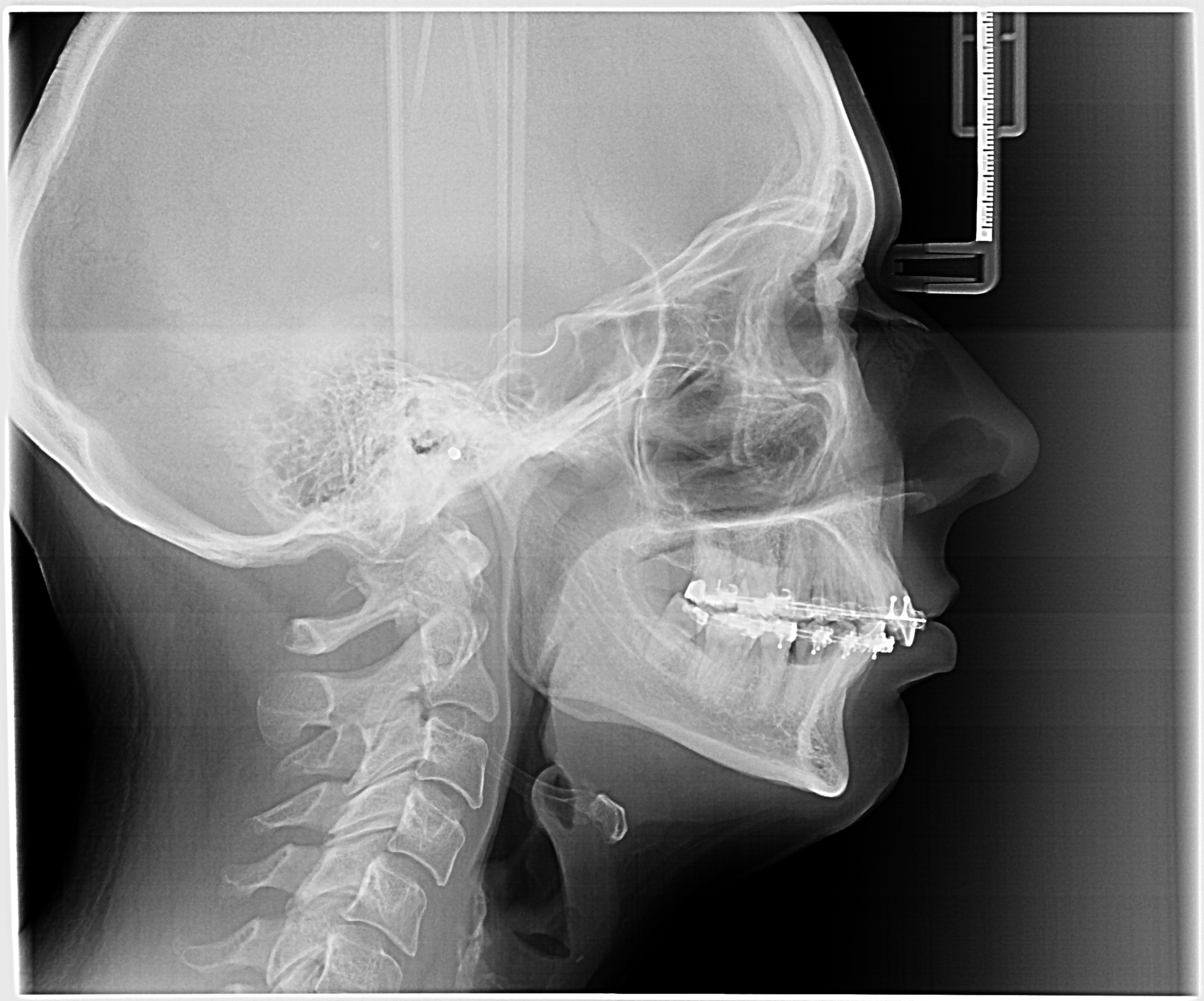
Orthognathic Insight

An advanced clinical assessment and decision-support tool for orthognathic surgery planning, enabling practitioners to analyze cephalometric measurements, classify skeletal patterns, and generate data-driven surgical treatment strategies.